Omurgada atipik hemanjiom nedir ve belirtileri nelerdir?
Omurgada atipik hemanjiom, iyi huylu bir tümör olup, damar yapılarının anormal büyümesi sonucu oluşur. Genellikle belirti vermezken, bazı durumlarda komşu dokulara baskı yaparak ağrı ve sinir sorunlarına yol açabilir. Tanı ve tedavi için uzman kontrolü önemlidir.
Omurgada Atipik Hemanjiom Nedir?Omurgada atipik hemanjiom, omurga içerisinde bulunan damar yapılarının anormal olarak büyümesiyle oluşan iyi huylu tümörlerdir. Bu tümörler genellikle omurganın vertebra adı verilen kemik yapılarında yer alır ve çoğunlukla asemptomatik (belirti vermeyen) bir şekilde seyrederler. Bununla birlikte, bazı durumlarda bu tümörler, komşu dokulara baskı yaparak çeşitli belirtilere yol açabilir. Atipik hemanjiom, normal hemanjiomlardan farklı olarak, histolojik özellikleri ve klinik davranışları bakımından farklılık gösterir. Genellikle daha agresif bir seyir izleyebilir ve bu nedenle daha dikkatli bir şekilde izlenmelidirler. Atipik Hemanjiomun NedenleriAtipik hemanjiomun kesin nedeni henüz tam olarak anlaşılmamış olsa da, bazı faktörlerin bu duruma katkıda bulunabileceği düşünülmektedir. Bunlar arasında:
Atipik Hemanjiomun BelirtileriAtipik hemanjiomun belirtileri, tümörün boyutuna, konumuna ve komşu dokulara yaptığı baskıya bağlı olarak değişiklik gösterebilir. Aşağıda, atipik hemanjiomun en yaygın belirtileri sıralanmıştır:
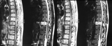
Tanı YöntemleriAtipik hemanjiomun tanısı genellikle görüntüleme yöntemleriyle konur. Bu yöntemler arasında:
Bu görüntüleme yöntemleri, hemanjiomun boyutunu, konumunu ve yapısını belirlemek için kullanılır. Ayrıca, doktorlar histolojik inceleme için biyopsi de alabilirler. Tedavi SeçenekleriAtipik hemanjiom tedavisi, hastanın genel durumu, tümörün boyutu ve belirtilerin şiddeti gibi faktörlere bağlı olarak değişiklik gösterir. Tedavi seçenekleri arasında:
SonuçOmurgada atipik hemanjiom, genellikle iyi huylu bir tümör olmasına rağmen, bazı durumlarda ciddi komplikasyonlara yol açabilir. Belirtilerin farkında olmak ve uygun tanı ile tedavi yöntemlerinin uygulanması, hastalığın kontrol altına alınmasında kritik öneme sahiptir. Herhangi bir sırt veya bel ağrısı durumu, bir sağlık uzmanıyla görüşülerek değerlendirilmelidir. Ek olarak, atipik hemanjiomun uzun dönem izlem gerektirdiği unutulmamalıdır. Hastaların düzenli olarak kontrol edilmesi, tümörün seyrini izlemek ve olası komplikasyonları önlemek açısından önemli bir adımdır. |





























Omurgada atipik hemanjiom tanısı konulmuş biri olarak, bu durumun benim için ne anlama geldiğini merak ediyorum. Asemptomatik olmasına rağmen, bu tür bir tümörün varlığı beni endişelendiriyor. Genetik yatkınlık veya hormonal değişiklikler gibi nedenlerin etkisini düşündüğümde, ailemde benzer sorunları yaşayan biri olup olmadığını sorguluyorum. Belirtiler arasında yer alan ağrı veya sinir sıkışması gibi durumları yaşayıp yaşamayacağım konusunda endişeliyim. Tanı yöntemleri olarak MRG veya BT gibi görüntüleme tekniklerinin kullanılacak olması, sürecin güvenilirliği açısından içimi biraz rahatlatıyor ama yine de cerrahi müdahale gerektirebilir mi düşüncesi aklımı kurcalıyor. Tedavi seçeneklerinin neler olduğunu öğrenmek ve izlem gerekliliği hakkında daha fazla bilgi sahibi olmak istiyorum. Uzun dönem izlem gerekliliği, bu durumun ciddiyetini anlayabilmemde önemli bir faktör. Sizce bu süreçte hangi adımları atmalıyım?
Sayın Alaaddin Bey, omurgada atipik hemanjiom tanısı konulmasının ne kadar endişe verici olabileceğini anlıyorum. Bu durumla ilgili merak ettiğiniz konuları şu şekilde özetleyebilirim:
Atipik Hemanjiomun Anlamı
Omurgadaki atipik hemanjiomlar genellikle iyi huylu damar yumaklarıdır. Asemptomatik olması olumlu bir durum çünkü çoğu omurga hemanjiomu hiçbir zaman sorun yaratmaz. Bunlar gerçek anlamda "tümör" olarak değil, damar anomalileri olarak kabul edilir.
Genetik ve Hormonal Faktörler
Araştırmalar hemanjiomlarda genetik yatkınlığın sınırlı rol oynadığını göstermektedir. Hormonal değişiklikler (özellikle östrojen) bazı hemanjiomların büyümesini etkileyebilir, ancak bu her hasta için geçerli değildir. Ailenizde benzer sorun yaşayan olmaması, sizin durumunuzun farklı seyredeceği anlamına gelebilir.
Belirti ve Komplikasyon Riskleri
Asemptomatik hemanjiomlar genellikle ağrı veya sinir sıkışmasına neden olmaz. Risk faktörleri arasında hemanjiomun büyüklüğü, yerleşim yeri ve agresif özellikler taşıması yer alır. Düzenli takiplerle bu riskler kontrol altında tutulabilir.
Tanı ve Tedavi Yaklaşımı
MRG ve BT gibi görüntüleme yöntemleri tanı ve takipte oldukça güvenilirdir. Cerrahi müdahale genellikle sadece şu durumlarda gündeme gelir: şiddetli ağrı, nörolojik defisit riski, patolojik kırık tehlikesi veya hızlı büyüme. Mevcut tedavi seçenekleri arasında gözlem, embolizasyon, radyofrekans ablasyon ve cerrahi yer alır.
İzlem ve Süreç Yönetimi
Uzun dönem izlem genellikle 6-12 aylık aralıklarla görüntüleme kontrollerini içerir. Süreçte atmanız gereken adımlar:
- Düzenli kontrollerinizi aksatmayın
- Nörolojik semptomlar (uyuşma, güçsüzlük, idrar kaçırma) gelişirse zaman kaybetmeden doktorunuza başvurun
- Fiziksel aktiviteler konusunda doktorunuzdan öneri alın
- Endişelerinizi nöroşirürji veya ortopedi uzmanıyla açıkça paylaşın
Unutmayın ki çoğu omurga hemanjiomu aktif tedavi gerektirmeden sadece takiple yönetilebilir. Mevcut durumunuz asemptomatik olduğu için, doktorunuz muhtemelen konservatif bir yaklaşım önerecektir.